Vývoj okolo pandémie koronavírusu sledujeme pozorne už od začiatku. Zistite viac, čo sa u nás počas tohto obdobia deje a aké aktivity sme už zrealizovali.
Stúpa nám počet pacientov s poruchami imunity
Na Slovensku zakladal prvé oddelenie klinickej imunológie a alergiológie. Dnes sám priznáva, že súkromné ambulancie majú lepšie materiálne vybavenie než tie štátne.
Ako sme pomáhali počas pandémie
Počas obdobia pandémie COVID-19 sme prispeli 40 miliónmi USD na viac než 60 rôznych projektov na celom svete. Na Slovensku sme pomohli aj desiatkam tisíc ľudí s obedami zadarmo.
Pacientske organizácie: Začali sme fungovať online
Pandémia zamiešala kartami aj v rámci pacientskych organizácií. Mnohé z dôsledku protipandemických opatrení museli na poslednú chvíľu zrušiť svoje osvetové podujatia, vzdelávacie semináre či iné aktivity.
Tisícka obedov denne pre najzraniteľnejších
Keď sa na jar objavila pandémia koronavírusu a náš život sa zrazu, zo dňa na deň, zmenil, ľudia v obave o svoje zdravie minimalizovali osobné kontakty a zostali radšej vo svojich domovoch.
Rýchle odkazy
Byť lídrom v čase krízy je privilégium
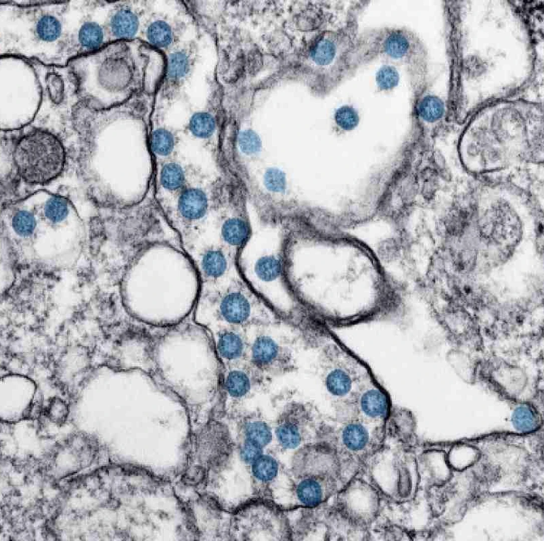
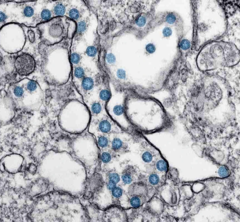
Posledné mesiace sa pozornosť celého sveta upiera na farmaceutický priemysel v nádeji, že sa čoskoro objaví účinná liečba alebo vakcína proti COVID-19.
Ako sme sa vysporiadali s prácou z domu
Od 10.marca sme celá spoločnosť na Slovensku prešli na prácu z domu a začali sme plne fungovať virtuálnou formou.
COVID-19: Top otázky a odpovede
Náš CEO Vas Narasimhan strávil väčšinu svojej kariéry prácou v oblasti vývoja liekov a vakcín, a to aj počas pandémie H1N1.
Organizácia podujatí v čase koronakrízy
Pred niekoľkými dňami sme s pomocou našich súčasných Leadership Trainees zorganizovali virtuálne podujatie pre študentov a budúcich absolventov – náš prvý Novartis Networking Event.
Svetový deň reumatizmu 2020
Tohtoročný Svetový deň reumatizmu bol pre Ligu proti reumatizmu (LPRe SR) na Slovensku výnimočný.
Ako zachovať v postpandemickom svete to pozitívne
Predstavte si, že prídete k lekárovi, ktorý vám navrhne liečbu určitým liekom. A pozrie si, ako u vás bude pôsobiť. Zdá sa vám to až neuveriteľné?