Nov 11, 2020
Cell samples from COVID19 lung tissue analysis
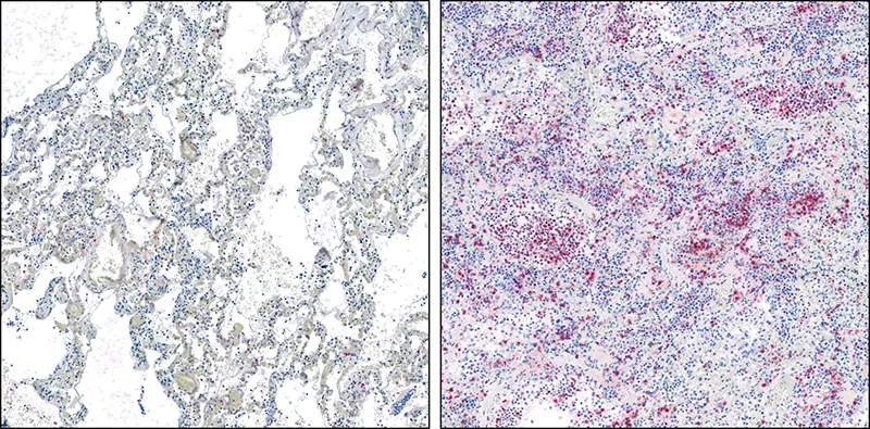
Stained slides of lung tissue samples (like those above) revealed distinct immune response patterns in fatal cases of COVID-19, adding to evidence that the disease may progress in two identifiable stages in the lungs. Image courtesy of the Junt lab.

Translational immunologists from the Novartis Institutes for BioMedical Research (NIBR), along with researchers from Swiss hospitals and data scientists, have identified two distinct patterns of fatal lung disease progression in COVID-19. The study, which analyzed post-mortem lung tissue to better understand the immune response against SARS-CoV-2 at the cellular and molecular level, suggests that there may be two stages of the disease in the lungs.

Kirsten Mertz, a Senior Pathologist at Cantonal Hospital Baselland, led the study along with Tobias Junt, who is a co-leader of Translational Immunology at NIBR. Their study was published in Nature Communications.

Mertz, who initiated the study after conducting one of the first COVID-19 autopsies in Europe, wrote about the work in a “Behind the Paper” feature in Nature Microbiology. She and Junt led a diverse team of scientists that included other clinical collaborators from across Switzerland and expert bioinformaticians from Italy. The team’s findings have potential implications for disease course and treatment.

Reimagine medicine with Novartis

The Novartis Institutes for BioMedical Research (NIBR) is the innovation engine of Novartis.

Learn More