Diagnóstico y pronóstico del cáncer de pulmón

El cáncer de pulmón se produce en la mayoría de los casos por el consumo de tabaco, pero existen otras razones, como la contaminación ambiental, la exposición al radón o el contacto con otro tipo de gases tóxicos. 
 

Jun 26, 2021

El cáncer de pulmón se produce en la mayoría de los casos por el consumo de tabaco, pero existen otras razones, como la contaminación ambiental, la exposición al radón o el contacto con otro tipo de gases tóxicos. 

Este tipo de cáncer suele diagnosticarse cuando el paciente presenta síntomas, ya que es en ese momento cuando se acude al médico y comienza el proceso para ser diagnosticado. Pero, al igual que en otros tumores, la detección precoz juega un papel muy importante porque determinará la evolución del cáncer. 

Lo primero será revisar la historia clínica y una exploración física, para conocer los antecedentes clínicos del paciente y buscar posibles síntomas. 

Una vez realizado esto, se realizan una serie de pruebas dependiendo de la situación de cada paciente.1,2
 

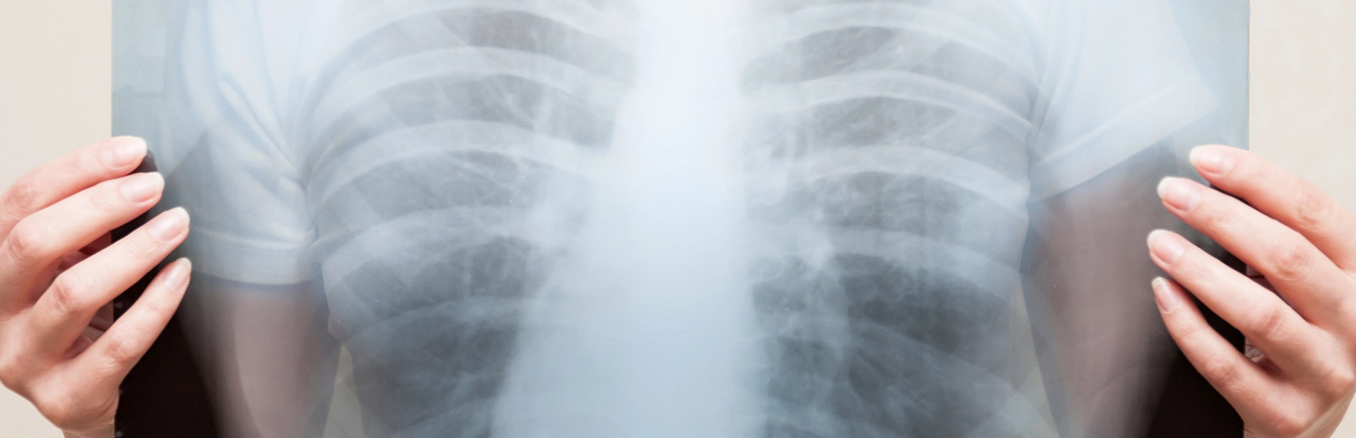
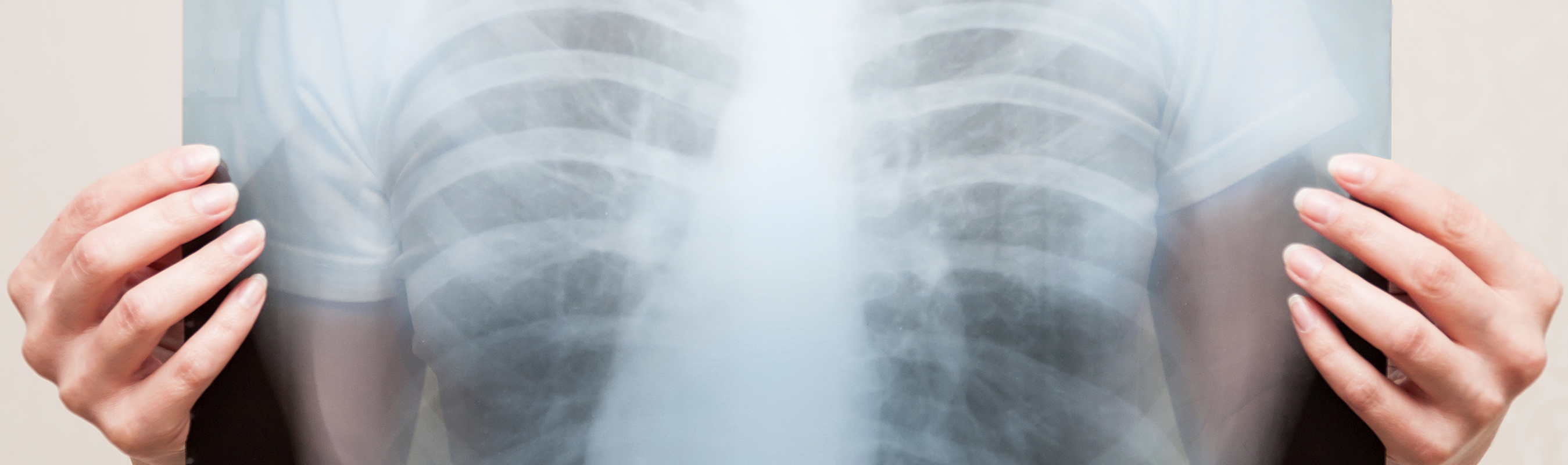
  • Radiografía de tórax. Es el primer examen que se realiza si la persona presenta síntomas. Proporciona imágenes de la posible zona afectada, en este caso los pulmones, para detectar posibles anomalías. 
  • Tomografía computarizada (TC). Esta prueba utiliza rayos X para reproducir imágenes transversales de todo el cuerpo. El conjunto de estas imágenes hace que esta prueba sea más efectiva que una radiografía, además de ser indolora.  
  • Tomografía por emisión de positrones (PET). Esta técnica consiste en introducir en la sangre del paciente un tipo de azúcar que se absorbe en mayor parte por las células anómalas. Se suele hacer en combinación con una TC y es útil para saber el nivel de propagación del tumor.
  • Citología de esputo. Uno de los síntomas frecuentes de este tipo de cáncer es la tos con esputo (saliva o flema), por ello, el análisis de este puede revelar anomalías en las células que forman el tejido pulmonar.
  • Biopsia. En ocasiones es necesario extraer tejido pulmonar para examinarlo y cerciorarse de la existencia de células cancerígenas. Si se sospecha que existe cáncer de pulmón, la biopsia suele realizarse con una aguja a través de la piel para alcanzar el área donde se haya detectado la anomalía. 
  • Resonancia magnética. Esta es otra forma de conseguir imágenes detalladas del cuerpo. Suele realizarse para ver si hay metástasis o para cerciorarse de la ubicación del tumor.  

     

El cáncer de pulmón sigue siendo uno de los más agresivos que existen hoy en día. La tasa de supervivencia relativa es menor que en otros tipos de cáncer debido a su agresividad y al diagnóstico en estadios más avanzados.

Esta estadística compara la supervivencia de los pacientes diagnosticados con cáncer con la supervivencia de las personas de la población general de la misma edad, raza y sexo que no han sido diagnosticadas con cáncer. Aunque históricamente el de pulmón es uno de los cánceres con resultados de supervivencia más limitados, gracias a la innovación e investigación de este tumor, se ha avanzado notablemente en la curación y supervivencia a la enfermedad.4

En relación a la prevalencia del cáncer de pulmón, los casos que se estiman para este 2020 son 29.638 en España. Así, este tipo de tumor sigue siendo uno de los más frecuentes junto con el cáncer de colon, próstata o mama. 3

Pese a los datos, debes tener en cuenta que no se pueden extrapolar a todos y cada uno de los pacientes con cáncer de pulmón, ya que cada persona diagnosticada es única, y la evolución puede ser muy variada.