ABRIL 22, 2026
Dr. Francisco Javier Díaz / Dr. Manuel Praga

Descripción de la patología

Es el tipo de glomerulonefritis primaria más frecuente. Muy rara en personas de raza negra, es más frecuente y agresiva en China y países de Extremo Oriente.
Causada por la síntesis anormalmente elevada de IgA deficientemente galactosilada (Gd-IgA1) contra la que se forman autoanticuerpos específicos. Los inmunocomplejos resultan-tes se depositan en el riñón (mesangio) produciendo daño histológico y manifestaciones clínicas10.
Pronóstico variable, dependiendo de la cuantía de la proteinuria, presencia o ausencia de hematuria y gravedad de las lesiones histológicas11.
El diagnóstico requiere la realización de una biopsia renal, en la que se debe demostrar mediante el estudio de inmunofluorescencia directa (IFD) el depósito mesangial de IgA en mayor o igual intensidad al de otras inmunoglobulinas (Ig) y complemento, aunque es frecuente el depósito de C3 en cualquier intensidad (Img. 1).

Inmunofluorescencia directa IgA 3+ y C3 3+ en patrón granular mesangial en Nefropatía IgA
Img. 1. IFD intensa para IgA (3+) y C3 (3+) en patrón granular y localización mesangial. 40x.

 

Los patrones de lesión en la microscopía óptica son heterogéneos, dentro de los que se pueden incluir expansión y/o proliferación mesangial (Img. 2), proliferación endocapilar y proliferación extracapilar (Img. 3). También pueden observarse lesiones crónicas, representadas por la glomeruloesclerosis focal y segmentaria, atrofia tubular y/o fibrosis intersticial. La microscopía electrónica muestra depósitos mesangiales (Img. 4) y ayuda al diagnóstico diferencial con otras patologías que cursan con depósito de IgA, como lo son la glomerulonefritis postinfecciosa IgA-dominante («jorobas») y la nefropatía lúpica (inclusiones túbulo-reticulares), entre otras12. Todos estos hallazgos están englobados en la clasificación de Oxford (puntuación MEST-C), permitiendo establecer un índice pronóstico13, unido a la positividad para C4d (Img. 5) que pone de manifiesto la activación de la vía de las lectinas y se ha asociado a peor pronóstico renal14.

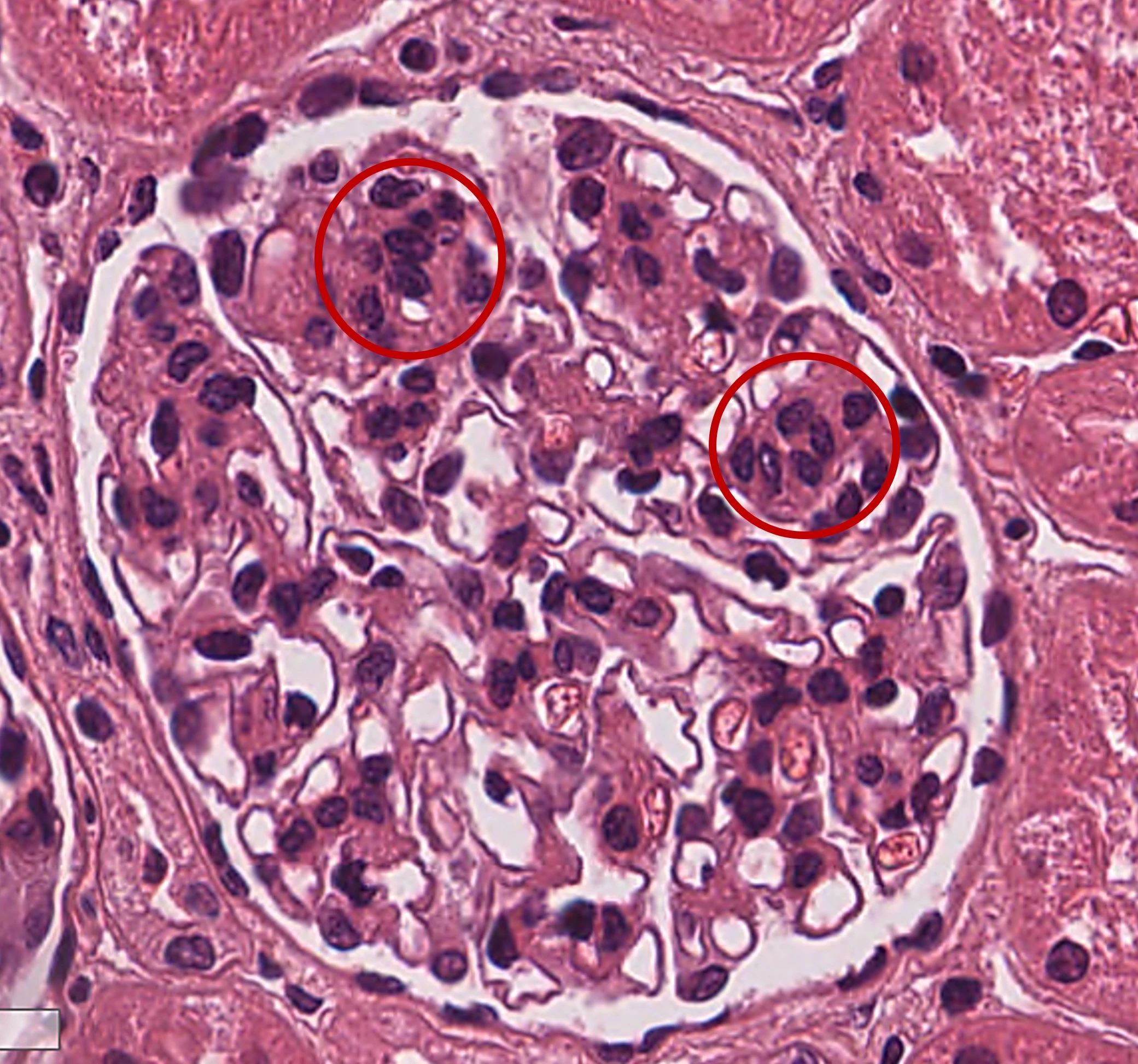
H&E con proliferación mesangial mayor de 3 células por área mesangial en Nefropatía IgA
Img. 2. H&E. Glomérulo con proliferación mesangial (>3 células/área mesangial) (O rojo). 40x.
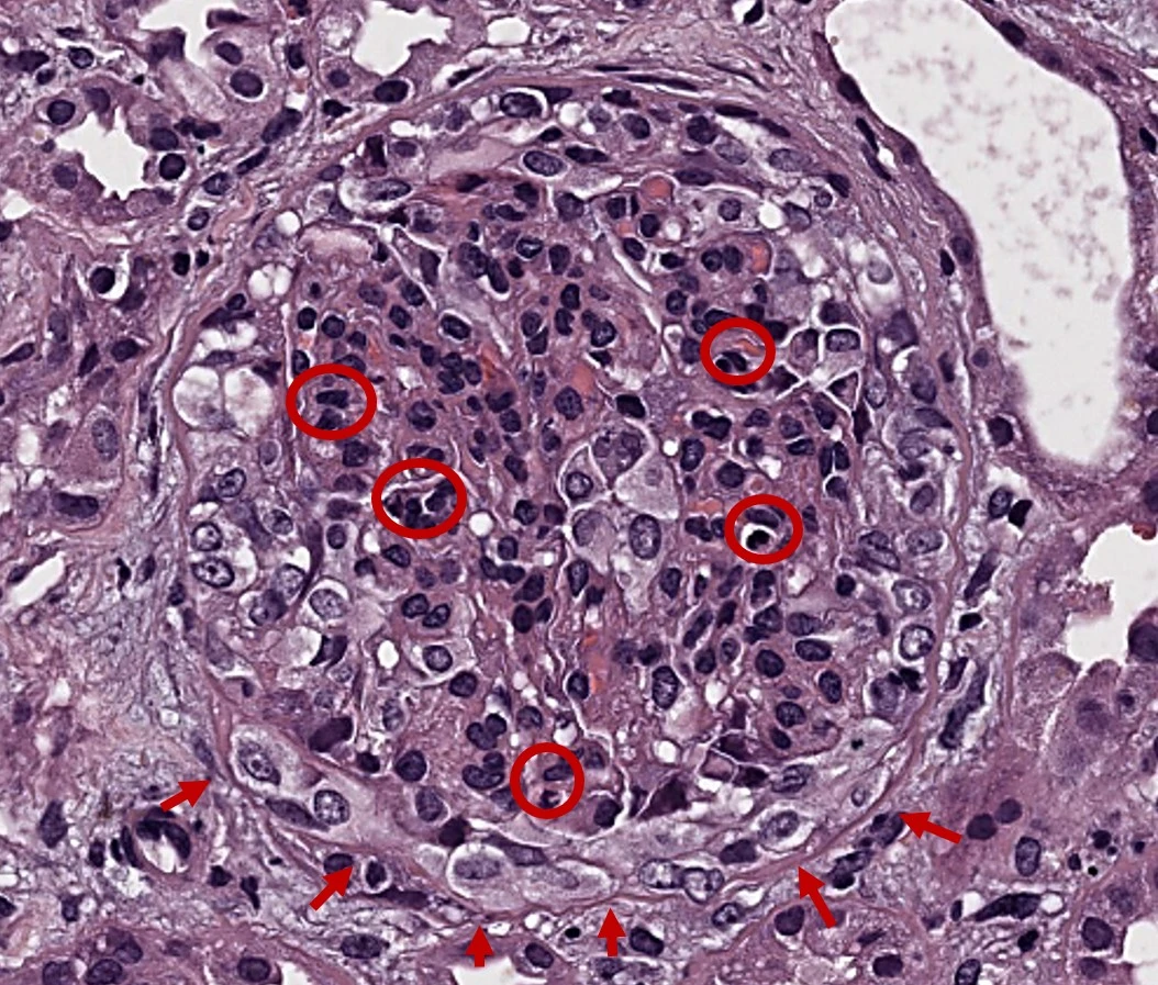
H&E de glomérulo con proliferación endocapilar y semiluna celular extracapilar en Nefropatía IgA
Img. 3. H&E. Glomérulo con proliferación endocapilar global a expensas de polimorfonucleares neutrófilos y monocitos (O rojo) además de proliferación extracapilar con formación de una semiluna celular (→ rojo). 40x.

 

MET de glomérulo con abundantes depósitos mesangiales electrodensos en NefroIgA
Img. 4. MET. Glomérulo con abundantes depósitos electrodensos mesangiales (→ rojo). 40000x.
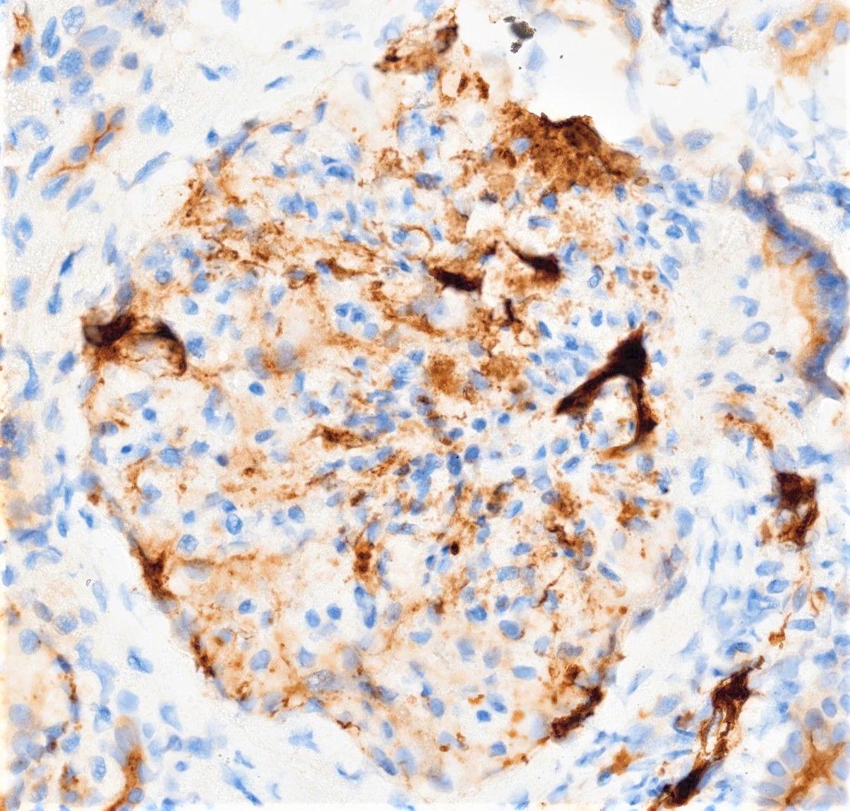
Tinción inmunohistoquímica para C4d con positividad mesangial granular en Nefropatía IgA
Img. 5. Tinción de inmunoperoxidasa para C4d. Glomérulo con positividad global mesangial granular para C4d. 40x.

 

Presentaciones más frecuentes

Más frecuente en adolescentes y adultos jóvenes, pero puede debutar a cualquier edad15.
El espectro de manifestaciones clínicas es amplio, desde hematuria microscópica asintomática hasta formas rápidamente progresivas que conducen a la insuficiencia renal16.

Presentación clínica más frecuente: alteraciones urinarias (microhematuria con proteinuria no nefrótica) acompañadas o no por episodios de hematuria macroscópica. Los brotes de hematuria suelen coincidir con infecciones respiratorias altas y son de duración variable (2-7 días), y son más frecuentes en fases tempranas de la enfermedad16. En ocasiones cursan con fracaso renal agudo causado por cilindros hemáticos intratubulares con necrosis tubular aguda17.

Presentaciones más infrecuentes: formas crescénticas (>50 % de los glomérulos con semilunas); hipertensión arterial maligna con microangiopatía trombótica en la biopsia; síndrome nefrótico completo con respuesta al tratamiento (corticoides) similar a las lesiones mínimas16.
 

 

Puntos clave para el diagnóstico diferencial 

Clínicos 

  • Brotes de hematuria macroscópica coincidentes con infecciones respiratorias/amigdalares, sin intervalos de tiempo entre la infección y la hematuria.
  • Complemento sérico característicamente normal.
  • El síndrome nefrótico es excepcional.

 

Histológicos 

  • Patrón de lesión más frecuente: expansión y/o proliferación mesangial, asociando cualquier lesión proliferativa adicional (endocapilar, extracapilar).
  • Depósito granular mesangial dominante o codominante de IgA evidenciado por IFD. Otras Ig como IgG e IgM pueden ser observadas en hasta el 50 % de los casos y la tinción de C1q está habitualmente ausente, aunque puede observarse positividad para C4d en alrededor del 30 % de los casos, lo que demuestra la activación de la vía de las lectinas y se asocia a peor pronóstico renal.

 


Suscribete para acceder a información clara y confiable sobre Nefrología y Salud Renal.

Suscribite para acceder a información clara y confiable sobre Nefrología y Salud Renal.

Nombre y apellido
¿Profesional de la salud?
País
Documento identidad (Ej.: DNI/RUT/CC)
¿Cuántos pacientes con glomerulopatías atiende por mes?
Tras leer este artículo, ¿crees que tiene algún paciente con esta patología?

1. Pickering, M. C. et al. Kidney Int 84, 1079–1089 (2013).
2. Caravaca Fontán, F., et al. Nephron 144, 272–280 (2020).
3. Hou, J. et al. Kidney Int 85, 450–456 (2014).
4. Bomback, A. S. et al. Kidney Int 93, 977–985 (2018).
5. Chabannes, M. et al. American Journal of Kidney Diseases 82, 279–289 (2023).
6. Lomax-Browne, H. J. et al. Clinical Journal of the American Society of Nephrology 17, 994–1007 (2022).
7. Savige, J. et al. Ophthalmic Genet 37, 369–376 (2016).
8. Corvillo, F. et al. Front Immunol 10, (2019).
9. Sethi, S. et al. Kidney Int 83, 293–299 (2013).
10. Berthoux, F. et al. Journal of the American Society of Nephrology 23, 1579–1587 (2012).
11. Wyatt, R. J. & Julian, B. A. New England Journal of Medicine 368, 2402–2414 (2013).
12. Pattrapornpisut, P., et al. American Journal of Kidney Diseases 78, 429–441 (2021).
13. Markowitz, G. Nat Rev Nephrol 13, 385–386 (2017).
14. Espinosa, M. et al. Clinical Journal of the American Society of Nephrology 9, 897–904 (2014).
15. Lai, K. N. et al. Nat Rev Dis Primers 2, 16001 (2016).
16. Gutiérrez, E. et al. Nephron 144, 555–571 (2020).
17. Gutiérrez, E. et al. Clinical Journal of the American Society of Nephrology 2, 51–57 (2007).
18. Fervenza, F. C., et al. Nephrology Dialysis Transplantation 27, 4288–4294 (2012).
19. Masani, N., et al. Clinical Journal of the American Society of Nephrology 9, 600–608 (2014).
20. Fakhouri, F., et al. Blood 141, 984–995 (2023).
21. Haas, M. et al. Kidney Int 98, 1120–1134 (2020).
22. Sethi, S. & Fervenza, F. C. Nephrology Dialysis Transplantation 34, 193–199 (2019).
23. Sethi, S. & Fervenza, F. C.. New England Journal of Medicine 366, 1119–1131 (2012).
24. Noris, M., et al. Nephrol Dial Transplant 38, 283–290 (2023).
25. Iatropoulos, P. et al. Mol Immunol 71, 131–142 (2016).
26. Cook, H. T. Curr Opin Nephrol Hypertens 27, 165–170 (2018).
27. Barbour, T., et al. Nephrology Dialysis Transplantation 27, 2673–2685 (2012).
28. Genest, D. S., et al. American Journal of Kidney Diseases 81, 591–605 (2023).
29. Filippone, E. J., et al. Modern Pathology 31, 235–252 (2018).
30. Loupy, A. et al. American Journal of Transplantation 20, 2318–2331 (2020).
31. Afrouzian, M. et al. Transplant International 36, (2023).
32. Gibson, I. W. Glomerular Dis 1, 68–81 (2021).
33. Cavero, T. et al. Nephrology Dialysis Transplantation 38, 1217–1226 (2023).
34. Gokhale, A., et al. Clin Transplant 35, (2021).
35. Leung, N., et al. New England Journal of Medicine 384, 1931–1941 (2021).
36. Messias, N. C., et al. Modern Pathology 28, 854–860 (2015).
37. Leung, N. et al. Nat Rev Nephrol 15, 45–59 (2019).
38. Bridoux, F., et al. Nephrology Dialysis Transplantation 36, 208–215 (2021).
39. Buxeda, A. et al. Transplantation 103, 1477–1485 (2019).
40. Aringer, M. et al. Arthritis & Rheumatology 71, 1400–1412 (2019).
41. Rojas-Rivera, J. E. et al. Nefrología 43, 6–47 (2023).
42. Xipell, M. et al. Autoimmun Rev 22, 103404 (2023).
43. Rovin, B. H. et al. Kidney Int 105, S1–S69 (2024).
44. Bajema, I. M. et al. Kidney Int 93, 789–796 (2018).
45. Bajema, I. M. et al. Kidney Int 103, 813–816 (2023).
46. Ramos-Casals M, et al. Rheumatology (Oxford) 54, 2230-8 (2015). Erratum in: Rheumatology (Oxford) 56, 1245 (2017).
47. Aiyegbusi, O. et al. Rheumatol Ther 8, 63–80 (2021).
48. Jasiek M, et al. Rheumatology (Oxford) 56, 362-370 (2017).
49. Uzzo, M., et al. Clinical Journal of the American Society of Nephrology 19, 743–754 (2024).
50. Chevalier, K. et al. J Intern Med 295, 532–543 (2024).
51. Martin Nares E, et al. Annals of the Rheumatic Diseases 77, 750 (2018).
52. Rodríguez-Iturbe, B. & Batsford, S. Kidney Int 71, 1094–1104 (2007).
53. Kanjanabuch, T., et al. Nat Rev Nephrol 5, 259–269 (2009).
54. Satoskar, A. A., et al. Nat Rev Nephrol 16, 32–50 (2020).
55. Nasr, S. H. et al. Journal of the American Society of Nephrology 22, 187–195 (2011).
56. Eison, T. M., et al. Pediatric Nephrology 26, 165–180 (2011).
57. Nasr, S. H. & D’Agati, V. D. Nephron Clin Pract 119, c18–c26 (2011).
58. Takayasu, M., et al. Int J Mol Sci 23, 7482 (2022).
59. Boils, C. L., et al. Kidney Int 87, 1241–1249 (2015).
60. Haas, M., et al. Hum Pathol 39, 1309–1316 (2008).
61. Nasr, S. H. et al. Hum Pathol 34, 1235–1241 (2003).
62. Farris AB III. Endocarditis. En: Marban E (ed.). Diagnóstico en patología de enfermedades renales (2014).
63. Nasr, S. H. & Fogo, A. B. Kidney Int 96, 581–592 (2019).
64. Klomjit, N., et al. Kidney360 1, 1002–1013 (2020).
65. Nasr, S. H. et al. Kidney Int 99, 410–420 (2021).
66. Javaugue, V. et al. Kidney Int 99, 421–430 (2021).
67. Roccatello, D. et al. Nat Rev Dis Primers 4, 11 (2018).
68. Javaugue, V. et al. Kidney Int 102, 382–394 (2022).
69. Alexander, M. P. et al. American Journal of Kidney Diseases 72, 325–336 (2018).
70. De Vriese, A. S., et al. Nat Rev Nephrol 17, 619–630 (2021).
71. Watts, A. J. B. et al. Journal of the American Society of Nephrology 33, 238–252 (2022).
72. Hengel, F. E. et al. New England Journal of Medicine 391, 422–433 (2024).
73. Kopp, J. B. et al. Nat Rev Dis Primers 6, 68 (2020).
74. Shabaka, A., et al. Nephron 144, 413–427 (2020).
75. D’Agati, V. D., et al. American Journal of Kidney Diseases 43, 368–382 (2004).
76. Sethi, S. & Fervenza, F. C. Nephrology Dialysis Transplantation 39, 600–606 (2024).
77. Sethi, S. et al. Kidney Int 104, 1092–1102 (2023).
78. Fernández-Juárez, G., et al. Clinical Journal of the American Society of Nephrology 18, 530–532 (2023).
79. Anguiano, L., et al. Curr Opin Nephrol Hypertens 29, 302–309 (2020).
80. Liu, Z.-H. Nephrology Dialysis Transplantation 18, 1526–1534 (2003).
81. Hénique, C., et al. Semin Immunopathol 36, 479–490 (2014).

 

FA - 11659765 - Abril 2026